AI Mendeteksi Lebih Banyak Kasus Kanker Payudara, Saran Penelitian

Apakah Anda akan membayar ekstra untuk meningkatkan pemeriksaan medis Anda dengan kecerdasan buatan? Dalam penelitian terbaru, lebih dari 30% wanita memilih mammogram yang dilengkapi AI—dan hasilnya sudah terlihat.

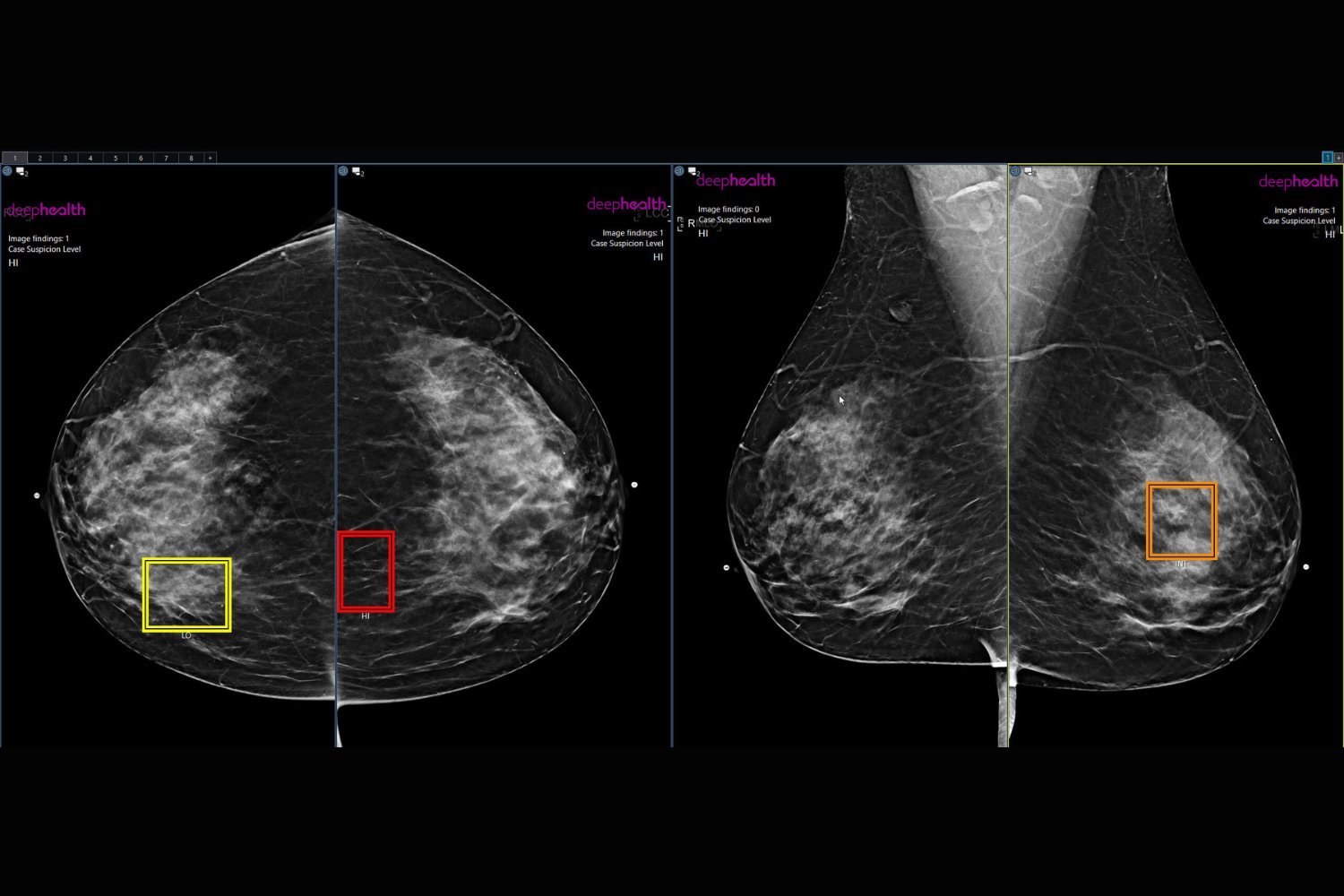
Para peneliti pada pertemuan tahunan Masyarakat Radiologi Amerika Utara (RSNA) tahun ini mengungkapkan bahwa kanker 21% lebih mungkin terdeteksi pada wanita yang membayar ekstra untuk program skrining kanker payudara yang ditingkatkan dengan AI. Temuan mereka, yang dipresentasikan pada pertemuan tahunan dan dirinci dalam pernyataan RSNA, menegaskan potensi AI untuk menjadi “mata kedua” bagi ahli radiologi.

“Ini adalah laporan pertama mengenai hasil dari sebuah program yang memberikan tinjauan yang ditingkatkan dengan dukungan AI sehingga pasien dapat memilih untuk ikut serta,” kata Bryan Haslam, chief product officer di DeepHealth yang memimpin penelitian tersebut, dalam pernyataannya.

Studi ini mempertimbangkan 10 praktik klinis yang menawarkan program skrining mamografi bertenaga AI yang dibayar sendiri dan sesuai dengan FDA kepada pasien. Hasil rontgen wanita yang mengikuti program ini ditinjau oleh ahli radiologi payudara dan kemudian oleh perangkat lunak AI. Jika tinjauan tersebut tidak konsisten satu sama lain, ahli radiologi kedua akan memberikan tinjauan ketiga.

Baca juga  Ice Melting, Polutan Pindah: Arktik Drift yang Menulis Kimia Laut Menulis Ulang

“Program peninjauan yang ditingkatkan yang digerakkan oleh AI memanfaatkan AI dalam alur kerja baru untuk memastikan wanita dengan temuan mencurigakan mendapatkan perawatan tingkat ahli yang dapat membantu mendeteksi lebih banyak kanker payudara secara dini,” tambah Haslam. “Jumlah perempuan yang memilih program ini kini mencapai 36% dan terus bertambah, dan tingkat deteksi kanker terus jauh lebih tinggi pada perempuan tersebut.”

Faktanya, dari 747.604 wanita yang menjalani mammogram selama setahun, tingkat deteksi kanker sekitar 43% lebih tinggi pada mereka yang mengikuti program dibandingkan dengan mereka yang tidak. Para peneliti mencatat tingkat yang lebih tinggi pada 10 praktik dalam penelitian tersebut. Meskipun mereka mengaitkan 22% peningkatan tersebut dengan fakta bahwa perempuan dengan risiko lebih tinggi terkena kanker lebih besar kemungkinannya untuk mengikuti program ini, namun 21% peningkatan deteksi lainnya berasal dari AI.

Baca juga  Sekilas Pandang BN Media Groups

Oleh karena itu, perempuan yang terdaftar dipanggil kembali untuk pemeriksaan tambahan dengan tingkat 21% lebih tinggi dibandingkan perempuan yang tidak terdaftar, dan nilai prediksi positif mereka terhadap kanker (kemungkinan mendapatkan hasil positif untuk kanker Sungguh menunjukkan kanker) juga 15% lebih tinggi, “menunjukkan bahwa setiap penarikan kembali menghasilkan lebih banyak diagnosis kanker pada populasi yang terdaftar,” tulis para peneliti. Dengan kata lain, penarikan kembali yang dipicu dengan bantuan AI lebih akurat.

“Data ini menunjukkan bahwa banyak perempuan yang ingin memanfaatkan AI untuk meningkatkan skrining mammogram mereka, dan ketika AI digabungkan dengan tinjauan perlindungan, lebih banyak kanker yang ditemukan,” kata Gregory Sorensen, juga dari DeepHealth dan penulis senior studi tersebut. Selanjutnya, para ilmuwan berharap untuk melanjutkan penelitian mereka dan menghilangkan bias yang diakibatkan oleh seleksi mandiri melalui uji coba terkontrol secara acak.

Baca juga  Aksi Sambut Kepulangan Perwakilan Masyarakat Kenanga dari RDP Komisi IV DPR RI

Hasil ini menyoroti potensi radiologi yang ditingkatkan dengan AI. Meskipun beberapa klinik menawarkan peningkatan tersebut dengan biaya tambahan, fakta bahwa asuransi saat ini tidak bersedia menanggung biaya tersebut mungkin memperlambat integrasinya, menurut para peneliti.

Masih harus dilihat apakah penelitian lebih lanjut akan menghasilkan penggunaan AI yang lebih luas dan berpotensi revolusioner di bidang diagnostik, dan apakah perusahaan asuransi akan ikut serta dalam program ini.

BN Babel